- Frekvenční systémy
-
Témata
- Nádory benigní (nezhoubné)
- Nádor maligní (zhoubný)
- Polypy
- Cysty
- Viry
- Bakterie
- Dermatologie a frekvence
- Gynekologie a frekvence
- Nemoci a frekvence
- Neoplazie a frekvenční terapie
- Patogeny a frekvenční terapie
- Esoterika a frekvenční terapie
- Vodík - frekvenční terapie
- Témata Elektrosmog
- KE herbs blog
- Základ frekvenční terapie
- Biozapper
- Hunter 4025 - Meta Hunter
- Frekvenční terapie v Rakousku
- Zdraví obecně
- Teorie prvků
- Mykoterapie
- Životní pole
- Alergie
- Acidobazická rovnováha
- Plísňová onemocnění
- Doporučení knih
- Doplňková medicína
- Doplňky
- E-smog
- Frekvence
- Analýza
- Akademie
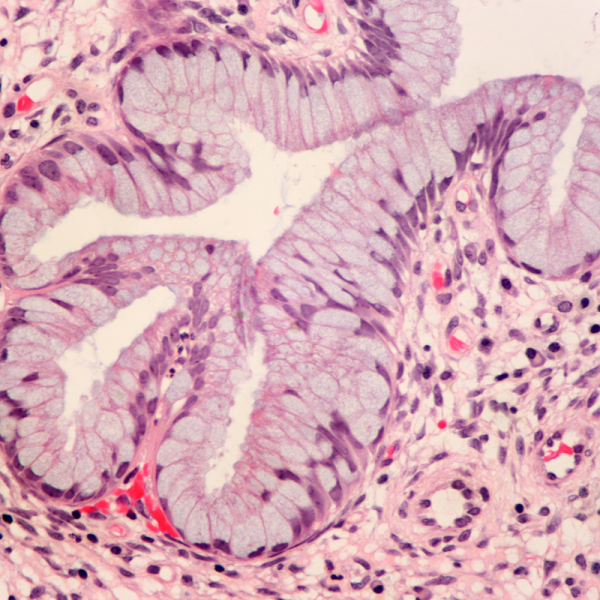
Polypy a frekvenční terapie
Polypy jsou slizniční výrůstky, které postihují sliznice orgánů a jsou způsobeny zvýšeným dělením buněk nebo genetickými faktory. Polypy často vznikají v důsledku zánětu a mohou se vyskytovat v různém stupni závažnosti.

Cervikální polyp
von: Eder Herbert
18. dubna 2023
Lékaři používají termín polypy děložního čípku pro označení tkáňových výrůstků podobných prstům, které se vyskytují v průchodu děložního čípku a obvykle mají průměr menší než jeden centimetr

Děložní polyp
von: Eder Herbert
18. dubna 2023
Děložní polyp, nazývaný také endometriální polyp, je obvykle nezhoubný výrůstek děložní sliznice způsobený zvýšeným růstem buněk.

Endometriální polypy
von: Eder Herbert
18. dubna 2023
Endometriální polypy se vyvíjejí ve sliznici, která vystýlá vnitřní část dělohy, tzv. endometrium.

Laryngeální polyp
von: Eder Herbert
18. dubna 2023
Hrtanový polyp je nezhoubný výrůstek sliznice v oblasti hlasivek a hrtanu, který se obvykle vyskytuje pouze na jedné straně.

Nosní polyp
von: Eder Herbert
18. dubna 2023
Nosní polyp je nezhoubný výrůstek tkáně v nosních dutinách, který se skládá z měkké, edematózní pojivové tkáně.

Střevní polypy
von: Eder Herbert
18. dubna 2023
Střevní polypy jsou výrůstky střevní sliznice, které jsou buď vyvolány určitými chorobami, nebo se tvoří bez zjistitelné příčiny.